Arthrosis of the knee joint (gonarthrosis)is a progressive chronic disease of the knee joints with damage, thinning and destruction of its cartilaginous part (articular surfaces of the femur and tibia), as well as damage to the subchondral bone.Studies (arthroscopy and magnetic resonance imaging) have proven that in addition to damage to the articular cartilage, the menisci and synovial membrane also participate in the process.Gonarthrosis is one of the most common orthopedic pathologies.There are its synonyms - osteoarthritis (OA), deforming arthrosis.The disease is an important socio-economic problem, because it is widespread and significantly worsens the quality of life of patients due to constant pain, and it also becomes a cause of high disability.

Until the mid-eighties of the last century, there was no single definition of the disease.It was not until 1995 that the osteoarthritis committee of the American College of Rheumatology characterized the disease as the result of mechanical and biological factors that lead to an imbalance between the processes of degradation and synthesis of the extracellular matrix of articular cartilage.As a result, there is disintegration and degeneration of fibers, cracks, osteosclerosis and compaction of the cortical layer of subchondral bone are formed, osteophytes grow and subchondral cysts are formed.
Why does arthrosis of the knee joint occur?
Risk factors for osteoarthritis include:
- chronic traumatization (violation of physical activity, excess weight);
- endocrine, inflammatory, metabolic and ischemic diseases;
- the presence of congenital or acquired disorders of the relationship, shape or structural organization of the joint ends.
If you notice similar symptoms, contact your doctor.Do not self-medicate - it is dangerous for your health!
Symptoms of arthrosis of the knee joints
Osteoarthritis of the knee joint is characterized by:
- gradual onset;
- slight pain in the joint when moving, especially when going up and down stairs;
- "Tightness", stiffness and "initial pain" that occurs during the first steps and decreases or disappears if the patient "breaks apart", continues after significant physical activity.
- the appearance of the knee remains the same.Sometimes there is a slight swelling or accumulation of fluid in the joint.At the same time, the knee increases in volume, swells, becomes flattened, and movement restrictions and heaviness are felt.
Painful sensations
As the disease progresses, the pain becomes more and more intense, it occurs even with less effort and long walking.Localized along the front-inner surface of the joint.Prolonged rest usually helps the pain go away.
Limited mobility of the knee joint and characteristic creaking
In arthrosis, the range of motion of the joints can be reduced, there can be a creaking and sharp pain when the leg is maximally bent.
Knee deformity
The configuration of the joint changes, as if expanding.
Synovitis
Synovitis of the knee joint is an inflammation of the lining of the inner cavity of the joint.The disease manifests itself in the form of knee swelling, skin redness and limited joint mobility.With the development of arthrosis, synovitis occurs more often, lasts longer and involves a large amount of fluid.
The last stage of gonarthrosis is characterized by the fact that the pain becomes almost constant, causing anxiety not only while walking, but also at rest, and even at night, when patients have to find a comfortable position to sleep.Movement is more limited: it is difficult to fully bend and straighten the leg.The joint deforms and increases in volume.Valgus (X-shaped) or varus (O-shaped) leg deformities are often observed.The gait becomes unstable and he stumbles.In severe cases, a cane or crutches are needed.

According to researchers, 76% of elderly people who complain of knee pain have radiographs showing gonarthrosis.According to statistics, women are more often affected by the disease, which is associated with hormonal changes after 45 years.
Pathogenesis of knee joint arthrosis
There are primary and secondary osteoarthritis.
Primary arthrosis of the knee joint
- Articular cartilage is constantly destroyed and renewed;normally, these processes are balanced.Over the years, cartilage renewal slows down and destruction begins to dominate, which is called the process of degradation or degeneration.The weight of the person plays an important role, because with a mass of 70 kg we carry 700 kg on each leg in 20 steps (70 kg x 10 steps), and with a mass of 120 kg we already carry 1200 kg on each leg.Because of this, weak cartilage wears out much faster;
- it is necessary to remember: the joint receives nutrients and renews itself while moving;A sedentary lifestyle reduces metabolic processes, and the necessary elements do not reach the cartilage;
- There is controversial evidence about the role of heredity in the development of the disease.If the parents had arthrosis, then the probability of its occurrence in children increases;
- is caused by autoimmune synovial inflammation.
Secondary arthrosis of the knee joint
- injuries (fractures, ruptures of the meniscus and anterior cruciate ligament).Unfortunately, in every person, regardless of age, these injuries lead to an excessive load on the cartilage.A fracture of any part of the bones covered with cartilage is accompanied by the formation of a bump - a "step".In this area, during movement, abrasion occurs and arthrosis is formed;
- rheumatoid arthritis, Koenig's disease (osteochondritis dissecans), consequences of purulent joint inflammation (gonitis), etc.;
- regional vascular disorders;
- chronic exudative-proliferative and cicatricial adhesive processes in the joint.

In arthrosis (osteoarthrosis), in addition to the progressive destruction of cartilage, loss of its elasticity and cushioning properties, the bones are gradually involved in the process.Under load, sharp edges (exostoses) appear, which are mistaken for "salt deposits" - in classic arthrosis, salt deposition does not occur.As osteoarthritis progresses, it continues to "eat" the cartilage.Then the bone deforms, cysts form, all joint structures are affected, and the leg bends.
In addition to the inner or outer part of the knee, arthrosis can also affect the surfaces between the patella and the intercondylar groove of the femur.This option is calledpatellofemoral arthrosis.
Its cause is usually subluxation, fracture or lateralization of the patella.

Classification and stages of development of arthrosis of the knee joints
Regardless of the cause, there are three stages of gonarthrosis, i.e deforming arthrosis of the knee joint.
Gonarthrosis, stage I
The first stage of the disease is characterized by primary changes in the hyaline cartilage.Bone structures are not affected.Blood supply in intraosseous vessels and capillaries is disturbed.The cartilage surface becomes dry and loses its smoothness.If the disease is accompanied by constant tense synovitis, then Baker's cyst (hernial protrusion of the joint capsule of the popliteal region) develops.After significant stress on the joint, a dull pain occurs.Slight swelling may occur, which disappears after rest.No deformation.
Gonarthrosis, II stage
In the second stage, the layer of cartilage becomes suddenly thinner, and in some places it is completely absent.Osteophytes appear along the edges of the joint surfaces.The qualitative and quantitative characteristics of the synovial fluid of the joint change - it becomes thicker, more viscous, which leads to the deterioration of its nutritional and lubricating properties.The pain is longer and more intense, and there is often a creaking sound when moving.There is mild or moderate limitation of motion and mild joint deformity.Taking analgesics helps relieve pain.
Gonarthrosis, stage III
Lack of cartilage in most affected areas, severe sclerosis (hardening) of the bones, many osteophytes and sharp narrowing or absence of the joint space.The pain is almost constant, the gait is disturbed.Mobility is severely limited, and joint deformations are noticeable.NSAIDs, physiotherapy and other standard methods of treatment for knee arthrosis are ineffective.
Types of gonarthrosis
Depending on the number of affected joints, unilateral and bilateral gonarthrosis are distinguished.
Complications of arthrosis of knee joints
The most common complication of stages II and III is tendovaginitis of the adductor group of thigh muscles.This is manifested by pain along the inner surface of the joint, which increases with movement.The cause is imbalance and muscle deformation.With long-term reduction in range of motion, contracture develops.In addition, synovitis often occurs.
Consequences of advanced gonarthrosis
Gonarthrosis affects the entire musculoskeletal system, disrupting the biomechanics of the spine and other large joints of the lower extremities.This can lead to disc herniation and arthritis of other joints.The second knee joint is overloaded (if the disease is unilateral), because the patient spares the painful leg, transferring the weight to the other, healthy one.
Diagnosis of arthrosis of the knee joints
Instrumental diagnosis of arthrosis of the knee joint
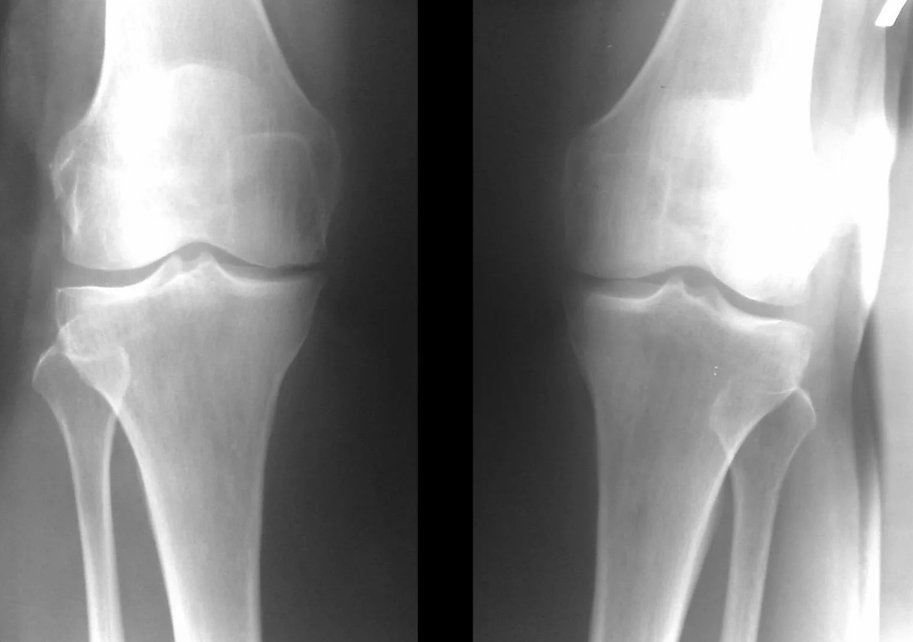
In the vast majority of cases, an examination and X-ray of the knee joint in two projections (direct and lateral) is sufficient.Clinical data and images help in determining the stage of the disease.

In the early stages of the disease, with minor changes in the bone tissue, the X-ray examination is not so valuable.At this stage, gonarthrosis can be diagnosed by arthroscopic examination.The precision of the method is very high;only its invasive nature and cost can stop it.
Ultrasound does not allow clear visualization of changes in articular cartilage and intra-articular structures.Using magnetic resonance, you can detect changes in the bones, cartilage and soft tissue structures of the joint, as well as the subchondral bone, with 85% accuracy.Scintigraphy can be used to assess the metabolic activity of periarticular bone tissue.
Laboratory diagnosis of arthrosis of the knee joint
The increased content of phosphorus and calcium in the dehydrated synovial fluid is evidence of the destruction of the osteochondral tissue of the joint and the accumulation of degradation products.Blood is also examined - general analysis and erythrocyte sedimentation rate (ESR);determine the level of fibrinogen, urea and other biochemical parameters of blood and urine.
Is it possible to completely cure deforming arthrosis of the knee joint?
Gonarthrosis can be completely cured only in the earliest stage of the disease.
Which doctor treats deforming arthrosis of the knee joint?
A traumatologist-orthopedic or rheumatologist diagnoses and prescribes treatment.
Treatment of arthrosis of the knee joints
Conservative — anti-inflammatory drugs, painkillers, muscle relaxants, vascular, chondroprotectors, dressings, kinesiotaping, physical therapy, physiotherapy, orthoses.
Minimally invasive- paraarticular blockades (Novocaine + medicine relieves pain and inflammation), injection of artificial lubricant into the joint itself, plasma lifting.
Surgical — arthroscopy (a low-traumatic method of treating intra-articular pathologies and removing damaged structures), endoprosthetics.
Drug treatment (drugs for the treatment of arthrosis of the knee joint)
Conservative methods are most effective in the initial stage of the disease.They help reduce pain and temporarily slow down the destruction of cartilage.In phase II, more effective methods are needed.The introduction of hyaluronic acid preparations into the joint cavity is used to reduce friction and cartilage trauma.There is no clear evidence for cartilage repair, but it is good for lubricating surfaces."PRP therapy" (plasmolifting) is the injection of platelet-rich plasma into the knee joint, which is obtained from the patient's own blood by centrifugation.It nourishes the cartilage and promotes its restoration, because autoplasm platelets contain numerous growth factors and cytokines that promote the regeneration of damaged tissue.
Surgical treatment and endoprosthetics
Endoprosthesis replacement is a common and effective surgical method for the treatment of severe gonarthrosis, which allows you to maintain limb mobility and the ability to lead a full life afterwards.This is a high-tech operation that takes about an hour and a half.In the postoperative period, long-term rehabilitation and development of the joint is necessary.After 25-30 years, when the artificial joint wears out, it needs to be replaced again.

Physiotherapy and kinesitherapy
Physiotherapy and kinesitherapy methods for the treatment of arthrosis of the knee joint are ineffective.
Diet therapy
Dieting is only necessary to maintain a normal weight;there are no restrictions on the consumption of certain foods for gonarthrosis.
Does the blockade help with gonarthrosis?
For arthrosis of the knee joint, a para-articular block is used - injection of medicine into the soft tissue around the joint.During the procedure, the area of inflammation and painful points near the joint is determined, the skin is treated with alcohol, and hydrocortisone with anesthetic is injected into this area.
Therapeutic exercises for arthrosis
Therapeutic exercises are useful both for patients suffering from gonarthrosis and for the prevention of this disease.Effective exercises:
- full flexion and extension of the leg, lying on the back;
- Straight leg raise lying on your back.
Forecast.Prevention
You must understand that if arthrosis begins to develop, then it must be treated immediately.If you are at risk of this disease, you can delay the start, for this it is recommended:
- reduce stress on the knee joint;
- swim - water relieves stress;
- massage the calf and thigh muscles yourself;
- avoid hypothermia and overwork;
- maintain a normal weight;
- stop smoking and alcohol;
- women wear comfortable shoes with low heels;
- do physical therapy
Before starting therapeutic exercises, you should definitely consult your doctor.Exercises are performed at a slow pace.If pain or discomfort occurs during gymnastics, the exercises should be stopped.
Only effective drugs should be used.Rubbing, compresses and other folk methods are ineffective;they do not act on the cause of the disease, but only help to distract from the pain.Avoid injury and overload - jumping, carrying heavy objects, standing for long periods or sitting in an uncomfortable position.This accelerates the progression of the disease.
It is also necessary to timely diagnose and treat rheumatoid arthritis, gout and systemic diseases.
What factors influence the long-term prognosis of knee arthrosis?
The prognosis depends on the stage in which the patient went to the doctor and the proper treatment.The sooner you start proper treatment, the better your chances of avoiding surgery.






















